ΜΙΛΤΙΑΔΗΣ Ι. ΜΑΤΣΑΓΚΑΣ, MD, PhD, FEBVS
Καθηγητής Αγγειοχειρουργικής Πανεπιστημίου Θεσσαλίας
Διευθυντής Αγγειοχειρουργικής Κλινικής Π.Γ.Ν.Λ.
E-mail: mmatsagkas@gmail.com








Δέχεται κατόπιν ραντεβού:

Τηλ. Γραμματείας : 698 70 88 004 (09:00 - 15:00)
Ιδιωτικό Ιατρείο
Πανός 18, 3ος όροφος
41222, Λάρισα
Υποκατάστημα Ιατρείου
Δωδώνης 18, ισόγειο
45332, Ιωάννινα
Πανεπιστημιακό Νοσοκομείο Λάρισας
Απογευματινά Ιατρεία
www.uhl.gr
Τηλ. Γραμματείας : 24135 01179, 24135 02399, 24135 02463

Ανευρύσματα κοιλιακής αορτής και λαγονίων αρτηριών

Η τεράστια συσσωρευμένη εμπειρία για κάθε είδος ανευρύσματος, εύκολο ή δύσκολο, με τις πλέον σύγχρονες μεθόδους, εγγυάται τις μέγιστες πιθανότητες για την επιτυχή έκβαση της επέμβασης τόσο άμεσα όσο και στο μέλλον!

 
 

Όλο το ανώνυμο φωτογραφικό υλικό προέρχεται από το προσωπικό μου αρχείο κατά την θητεία μου στα Πανεπιστημιακά Νοσοκομεία Λάρισας και Ιωαννίνων



Πότε θα πρέπει να αντιμετωπίζονται;

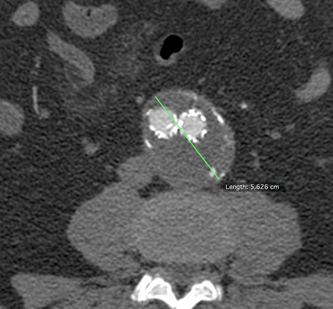
Τα ανευρύσματα της κοιλιακής αορτής πρέπει να αντιμετωπίζονται όταν η διάμετρος τους ξεπερνάει τα 5 εκατοστά. Τα ανευρύσματα των λαγονίων όταν η διάμετρος ξεπερνάει τα 3-3,5 εκατοστά. Τα παραπάνω ανευρύσματα τις περισσότερες φορές χρειάζεται να αντιμετωπίζονται ταυτόχρονα λόγω στενής γειτνίασης των αγγείων αυτών.

Στις γυναίκες τα ανευρύσματα της αορτής και των λαγονίων πρέπει να αντιμετωπίζονται νωρίτερα λόγω διαφορετικής σωματοδομής του γυναικείου φύλου. Όταν εμφανίζονται στην αορτή τα αντιμετωπίζουμε από την διάμετρο των 4,5 εκατοστών, ενώ εκείνα των λαγονίων αρτηριών από την διάμετρο των 3 εκατοστών.


Πώς αντιμετωπίζονται;
 



Γενική, περιοχική ή τοπική αναισθησία;

Αν και θεωρητικά τα ανευρύσματα της κοιλιακής αορτής μπορούν να αντιμετωπίζονται ενδαγγειακά με όλους τους παραπάνω τύπους αναισθησίας, η απόφαση για το ποιός τρόπος είναι ο καταλληλότερος εξαρτάται από πολλούς παράγοντες, όπως η γενική κατάσταση του ασθενούς (και ιδιαίτερα εκείνη της καρδιάς, των πνευμόνων και των νεφρών του), τα φάρμακα που λαμβάνει χρονίως ο ασθενής, τον σωματότυπο του ασθενούς (σωματικό βάρος και ύψος), όπως και την δυσκολία τοποθέτησης του μοσχεύματος ανάλογα με την ανατομία του ανευρύσματος.

Σε κάθε περίπτωση απαιτείται καλός προεγχειρητικός έλεγχος (καρδιολογική εξέταση με υπερηχογράφημα καρδιάς, πνευμονολογική εξέταση με σπιρομέτρηση, πλήρης αιματολογικός έλεγχος και ακτινογραφία θώρακος), καθώς και προεγχειρητική εκτίμηση από τον/την Αναισθησιολόγο που θα τον αναλάβει και που μαζί με τον Αγγειοχειρουργό θα πάρουν την τελική απόφαση για το είδος της αναισθησίας που θα ακολουθηθεί.


Μικρές βουβωνικές τομές ή διαδερμική προσπέλαση;
 


Χειρουργική αντιμετώπιση
 



Πολύπλοκα ανευρύσματα, σύγχρονες ενδαγγειακές τεχνικές
 



Ανευρύσματα λαγονίων – διάσωση της έσω λαγόνιας αρτηρίας
 
• Τα μεγάλα ανευρύσματα των λαγονίων όταν αντιμετωπίζονται ενδαγγειακά πολλές φορές απαιτούν τον αποκλεισμό της έσω λαγόνιας αρτηρίας.

• Σήμερα εφαρμόζουμε ειδικές ενδαγγειακές τεχνικές (αλλά και χειρουργικές όταν χρειάζεται), με τις οποίες μπορούμε να διασφαλίσουμε την διάσωση της έσω λαγόνιας αρτηρίας με την χρησιμοποίηση πλάγιων κλάδων.

• Η διάσωση της έσω λαγόνιας αρτηρίας είναι ιδιαίτερα σημαντική σε νέους σχετικά ασθενείς, και όταν υπάρχουν μεγάλα ανευρύσματα



Μετεγχειρητική παρακολούθηση

• Η ενδαγγειακή αντιμετώπιση των ανευρυσμάτων απαιτεί την στενή παρακολούθηση τους ασθενούς ιδιαίτερα κατά τον 1ο χρόνο μετά την επέμβαση, αλλά και στην συνέχεια.

• Με τον τρόπο αυτό μπορούν έγκαιρα να επισημανθούν πιθανές δυσλειτουργίες του μοσχεύματος και να διορθωθούν εύκολα.

• Η μη συμμόρφωση του ασθενούς με την μετεγχειρητική παρακολούθηση ή η μη σύσταση από τον θεράποντα ιατρό αποτελεί σφάλμα, που δυνατόν να επηρεάσει σημαντικά την πορεία της υγείας του στο μέλλον




Επανεπεμβάσεις μετά από παλαιότερη αποκατάσταση ανευρύσματος κοιλιακής αορτής

• Ορισμένοι ασθενείς που έχουν στο παρελθόν χειρουργηθεί είτε ανοικτά χειρουργικά είτε ενδαγγειακά, είναι δυνατόν να παρουσιάσουν κάποια επιπλοκή που θα απαιτήσει την εκ νέου επεμβατική αντιμετώπιση τους

• Η κάθε επανεπέμβαση απαιτεί πολύ μεγάλη εμπειρία και γνώση ως προς τον σχεδιασμό και την εκτέλεση της ώστε να υπάρξει επιτυχής έκβαση

• Μερικές φορές αυτό μπορεί να γίνει με σύνθετες ενδαγγειακές τεχνικές, άλλες μόνο με ανοιχτή εγχείρηση, ενώ κάποιες φορές θα απαιτηθεί συνδυασμός της ενδαγγειακής μεθόδου με κάποιου είδους ανοικτής χειρουργικής επέμβασης (υβριδική επέμβαση). Σε κάθε περίπτωση η γνώση και η εμπειρία σε όλα τα παραπάνω εξασφαλίζει την καταλληλότερη επιλογή αντιμετώπισης για ένα αίσιο τέλος.



Επιπρόσθετο ανώνυμο φωτογραφικό υλικό
από την αντιμετώπιση ανευρυσμάτων της κοιλιακής αορτής και των λαγονίων αρτηριών
από το προσωπικό μου αρχείο στα Πανεπιστημιακά Νοσοκομεία Λάρισας και Ιωαννίνων


  • Περιπτώσεις ανευρυσμάτων κοιλιακής αορτής

     

  • Περιπτώσεις πολύπλοκων ανευρυσμάτων κοιλιακής αορτής

     

  • Περιπτώσεις ανευρυσμάτων λαγονίων αρτηριών