ΜΙΛΤΙΑΔΗΣ Ι. ΜΑΤΣΑΓΚΑΣ, MD, PhD, FEBVS
Καθηγητής Αγγειοχειρουργικής Πανεπιστημίου Θεσσαλίας
Διευθυντής Αγγειοχειρουργικής Κλινικής Π.Γ.Ν.Λ.
E-mail: mmatsagkas@gmail.com








Δέχεται κατόπιν ραντεβού:

Τηλ. Γραμματείας : 698 70 88 004 (09:00 - 15:00)
Ιδιωτικό Ιατρείο
Πανός 18, 3ος όροφος
41222, Λάρισα
Υποκατάστημα Ιατρείου
Δωδώνης 18, ισόγειο
45332, Ιωάννινα
Πανεπιστημιακό Νοσοκομείο Λάρισας
Απογευματινά Ιατρεία
www.uhl.gr
Τηλ. Γραμματείας : 24135 01179, 24135 02399, 24135 02463

Περιπτώσεις αντιμετώπισης ανευρυσμάτων λαγονίων αρτηριών

Ανώνυμο φωτογραφικό υλικό από το προσωπικό μου αρχείο στα Πανεπιστημιακά Νοσοκομεία Λάρισας και Ιωαννίνων


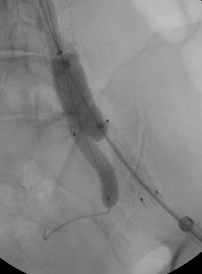
Περίπτωση 1

Άνδρας ασθενής 72 ετών με ανεύρυσμα κοιλιακής αορτής διαμέτρου 7 εκατοστών και ανεύρυσμα δεξιάς κοινής λαγονίου διαμέτρου 3 εκατοστών

Αντιμετωπίστηκε ενδαγγειακά με τοποθέτηση μοσχεύματος τύπου Excluder και επιπρόσθετα με την τοποθέτηση λαγονίου σκέλους με πλάγιο κλάδο δεξιά για την διάσωση της έσω λαγονίου αρτηρίας




Περίπτωση 2

Άνδρας ασθενής 82 ετών με ανευρύσματα λαγονίων άμφω αριστερά διαμέτρου 4,1 εκατοστών και δεξιά διαμέτρου 5,1 εκατοστών, χωρίς συμμετοχή της κοιλιακής αορτής

Αντιμετωπίστηκε ενδαγγειακά με τοποθέτηση μοσχεύματος τύπου Zenith και δύο λαγόνιες προεκτάσεις με πλάγιο κλάδο για διάσωση και των δύο έσω λαγονίων αρτηριών




Περίπτωση 3

Άνδρας ασθενής 74 ετών με ανεύρυσμα κοιλιακής αορτής 7,3 εκατοστών και κοινών λαγονίων άμφω δεξιά 2,5 εκατοστών και αριστερά 3,5 εκατοστών

Αντιμετωπίστηκε ενδαγγειακά με την τοποθέτηση μοσχεύματος τύπου Endurant με ευρύ σκέλος στην δεξιά κοινή λαγόνιο και με παράλληλο μόσχευμα στην αριστερή έσω λαγόνιο (τεχνική sandwich-chimney), ώστε να διατηρηθούν και οι δύο έσω λαγόνιες αρτηρίες




Περίπτωση 4

Άνδρας ασθενής 73 ετών με προηγούμενη (προ 14 ετών) ανοικτή χειρουργική αποκατάσταση ανευρύσματος κοιλιακής αορτής παρουσιάζει ανευρύσματα κοινών λαγονίων άμφω δεξιά 5,2 εκατοστών και αριστερά 5,5 εκατοστών και επιπρόσθετα απόφραξη της αριστερής έσω λαγονίου αρτηρίας

Αντιμετωπίστηκε με υβριδική επέμβαση (ανοιχτή και ενδαγγειακή) με την χειρουργική μετάθεση της δεξιάς έσω λαγονίου αρτηρίας περιφερικότερα στην έξω λαγόνιο (εξωπεριτοναϊκή προσπέλαση) και την τοποθέτηση μοσχεύματος τύπου Excluder, ώστε να διατηρηθεί η