ΜΙΛΤΙΑΔΗΣ Ι. ΜΑΤΣΑΓΚΑΣ, MD, PhD, FEBVS
Καθηγητής Αγγειοχειρουργικής Πανεπιστημίου Θεσσαλίας
Διευθυντής Αγγειοχειρουργικής Κλινικής Π.Γ.Ν.Λ.
E-mail: mmatsagkas@gmail.com








Δέχεται κατόπιν ραντεβού:

Τηλ. Γραμματείας : 698 70 88 004 (09:00 - 15:00)
Ιδιωτικό Ιατρείο
Πανός 18, 3ος όροφος
41222, Λάρισα
Υποκατάστημα Ιατρείου
Δωδώνης 18, ισόγειο
45332, Ιωάννινα
Πανεπιστημιακό Νοσοκομείο Λάρισας
Απογευματινά Ιατρεία
www.uhl.gr
Τηλ. Γραμματείας : 24135 01179, 24135 02399, 24135 02463

Περιπτώσεις αντιμετώπισης πολύπλοκων ανευρυσμάτων κοιλιακής αορτής

Ανώνυμο φωτογραφικό υλικό από το προσωπικό μου αρχείο στα Πανεπιστημιακά Νοσοκομεία Λάρισας και Ιωαννίνων



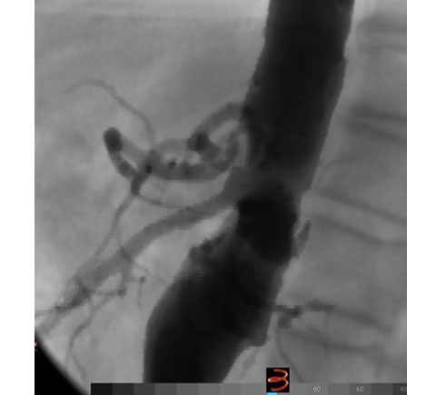
Περίπτωση 1

Άνδρας ασθενής 68 ετών με ανεύρυσμα κοιλιακής αορτής μέγιστης διαμέτρου 6,3 εκατοστών που αρχίζει αμέσως κάτω από τις νεφρικές αρτηρίες (παρανεφρικό), με παλαιό stent στην δεξιά κοινή λαγόνιο αρτηρία και πολλαπλές καρδιαγγειακές επεμβάσεις στο παρελθόν

Ιδιαίτερα υψηλού κινδύνου για ανοιχτή χειρουργική αποκατάσταση, η οποία με την σειρά της παρουσιάζει σημαντική πιθανότητα για μετεγχειρητικές επιπλοκές

Αντιμετωπίστηκε ενδαγγειακά με την τεχνική των παράλληλων μοσχευμάτων δίκην καπνοδόχου (chimney technique), σε 3 σπλαχνικές αρτηρίες (2 νεφρικές και άνω μεσεντέριος), και την χρησιμοποίηση κοιλιακού μοσχεύματος τύπου Endurant




Περίπτωση 2

Άνδρας ασθενής 79 ετών με ανεύρυσμα κοιλιακής αορτής μέγιστης διαμέτρου 6 εκατοστών που αρχίζει αμέσως κάτω από τις νεφρικές αρτηρίες (παρανεφρικό), με πολλαπλές συνοδές παθήσεις που αποκλείουν την ανοιχτή χειρουργική αποκατάσταση, η οποία με την σειρά της παρουσιάζει σημαντική πιθανότητα για μετεγχειρητικές επιπλοκές

Αντιμετωπίστηκε ενδαγγειακά με την τεχνική των παράλληλων μοσχευμάτων δίκην καπνοδόχου (chimney technique), στις 2 νεφρικές αρτηρίες, και την χρησιμοποίηση κοιλιακού μοσχεύματος τύπου Nellix το οποίο βασίζεται στην τεχνική της πλήρωσης του ανευρυσματικού σάκου με πολυμερές




Περίπτωση 3

Άνδρας ασθενής 65 ετών με ανεύρυσμα κοιλιακής αορτής μέγιστης διαμέτρου 5,8 εκατοστών που αρχίζει αμέσως κάτω από τις νεφρικές αρτηρίες (παρανεφρικό), παχύσαρκος, με πολλαπλές συνοδές παθήσεις που αποκλείουν την ανοιχτή χειρουργική αποκατάσταση, η οποία με την σειρά της παρουσιάζει σημαντική πιθανότητα για μετεγχειρητικές επιπλοκές

Αντιμετωπίστηκε ενδαγγειακά με την τεχνική χρησιμοποίησης εξατομικευμένου μοσχεύματος τύπου Zenith με πλάγιες οπές (fenestrations), στις 2 νεφρικές αρτηρίες και την άνω μεσεντέριο αρτηρία με επιπρόσθετη ευρεία εγκοπή (scallop) για την κοιλιακή αρτηρία, το οποίο σχεδιάστηκε αποκλειστικά για την περίπτωση του




Περίπτωση 4

Άνδρας ασθενής 62 ετών με ανεύρυσμα κοιλιακής αορτής μέγιστης διαμέτρου 9,1 εκατοστών που αρχίζει αμέσως κάτω από τις νεφρικές αρτηρίες (παρανεφρικό), σε σχετικά καλή γενική κατάσταση, εκτιμήθηκε ως μέτριου εγχειρητικού κινδύνου

Αντιμετωπίστηκε με ανοιχτή χειρουργική αποκατάσταση με υπερνεφρικό αποκλεισμό της αορτής που κράτησε συνολικά 35’ λεπτά και την τοποθέτηση ευθέως μοσχεύματος Dacron (κεντρική αναστόμωση αμέσως κάτω από τις νεφρικές αρτηρίες και περιφερική αναστόμωση τον διχασμό της αορτής)